Book an appointment
+91-124-4270224,
9899614642
Email
drguptadentalcentre@gmail.com
Facebook-f
Instagram
Youtube
Home
About
About Our Clinic
Dr. Ankur Gupta
Dr. Ankita Gupta
Sterilization
Services
Orthodontics
Cosmetic Services
Dental Implants
Endodontics
Invisalign
Restorative Services
Crown & Bridges
Teeth Whitening
Oral Surgery
Preventive Care
Periodontal Therapy
Dentures
Digital X Ray
Ceramic Tooth Fillings
Gallery
Clinic
Cases
International Patients
Videos
Instructions
Orthodontic Instructions
Instructions after Tooth Removal/minor surgery
Instructions After RCT
Blog
Appointments
Home
About
About Our Clinic
Dr. Ankur Gupta
Dr. Ankita Gupta
Sterilization
Services
Orthodontics
Cosmetic Services
Dental Implants
Endodontics
Invisalign
Restorative Services
Crown & Bridges
Teeth Whitening
Oral Surgery
Preventive Care
Periodontal Therapy
Dentures
Digital X Ray
Ceramic Tooth Fillings
Gallery
Clinic
Cases
International Patients
Videos
Instructions
Orthodontic Instructions
Instructions after Tooth Removal/minor surgery
Instructions After RCT
Blog
Cases
Home
Cases
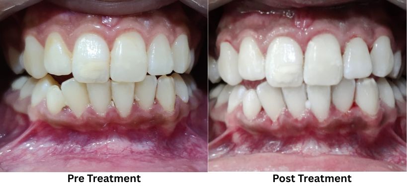
Pre & Post Treatment Cases
WhatsApp us
Call Us